MRI・CT検査

MRI・CT検査

MRI CT

MRI検査 代表的な症例とその画像

椎間板ヘルニア
髄膜腫(造影)
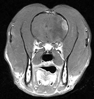
頸椎椎間板ヘルニア
脳腫瘍
転移性脳腫瘍
椎間板脊椎炎
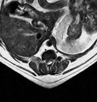
胸髄髄内腫瘍
延髄髄内腫瘍